Boja Kragulj, an accomplished clarinetist who once performed with orchestras in New York, Philadelphia, and Jacksonville, Florida, has already lost four teeth. And she expects to lose at least a dozen more.
People are also reading…
Boja Kragulj, an accomplished clarinetist, says she used the AGGA (Anterior Growth Guidance Appliance) in hopes of correcting her misaligned bite and improving her breathing without surgery. Kragulj has alleged in an ongoing lawsuit that the unproven and unregulated device caused catastrophic harm to her teeth. AGGA inventor Dr. Steve Galella and his company have denied all liability. (Makris Music Society; Boja Kragulj)
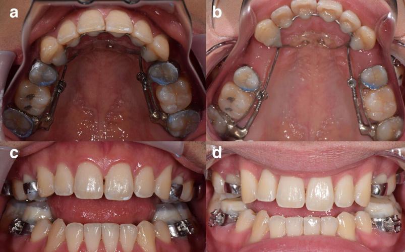
Photos of a 21-year-old man who has been affixed with an AGGA device and was examined by Dr. Kasey Li, a California maxillofacial surgeon. Li says images A and C show the patient at the start of his AGGA treatment and images B and D show the end, after the AGGA created gaps behind his canines. (Kasey Li)
Dr. Steve Galella, the inventor of the AGGA device, declines to speak with KHN and CBS News journalists near his clinic in the Memphis suburbs on Feb. 9, 2023. (Brett Kelman/KHN)
Dr. Kasey Li, a California maxillofacial surgeon, who has examined about 10 patients fitted with the AGGA and reviewed dental scans of five more, describes it as a “medieval” device. Li says his experience with the AGGA patients he has examined is that “it does nothing but basically make them lose their teeth.” (Anna Werner/CBS News)
Dr. George Mandelaris, a Chicago-area periodontist, says he has consulted with AGGA patients who were “mangled” and “disfigured” to the point of abuse.
Nick Hamilton, a former AGGA patient and member of the Las Vegas Institute group on Facebook. “I was asking too many questions. And I started talking openly with other people that were having issues. And they kicked us all out.” (Anna Werner/CBS News)
Boja Kragulj performs in Novi Sad, Serbia, in February 2017. (Makris Music Society)
10 small, healthy things you should do for yourself every day
1. Find one small way to add more steps to your day.
Martha Gulati, M.D., a cardiologist and editor-in-chief of the American College of Cardiology’s CardioSmart, confirms that we sit too much. Get closer to your 10,000 daily steps by parking at the end of the office parking lot; getting off the bus or subway one stop earlier; doing 10 jumping jacks between video calls; or taking the stairs instead of the elevator or escalator.
2. Just be — even for five minutes a day.
Pure Yoga instructor Alison O’Connor believes in spending time alone every day. “Taking a few minutes for yourself — away from social media, work, entertainment and anyone who demands something from you — can go a long way toward mental health.”
3. Make sleep a top priority.
The average adult needs seven to nine hours of sleep each night in order to stave off depression and keep stress hormones at bay, preventing overeating, crabby moods, succumbing to sugar cravings, and inflammation.
4. Refill your water bottle.
Water is, quite simply, essential. It helps your skin look fresh, flushes toxins from your body, helps maintain healthy bowel functions and keeps muscles from fatigue.
5. Take a few deep breaths.
According to Gulati, remembering to pause periodically and spend one full minute focused on deep breathing and positive energy can help you cope better with anxiety and stress and ground you in the present.
6. Wear something you love.
Feeling confident and happy can come from knowing you look good, says Forever Freckled stylist Carrie Greenberg. “Dust off classic pieces and consider investing in some great new accessories,” she says. Make it a point to wear something that makes you feel fantastic every single day.
7. Make something in the kitchen.
New York-based personal chef and fitness instructor Alyssa Gagarin says cooking your own food “gives you full control over what’s going into your body.” Load up on fruits, veggies, whole grains, eggs, meats, seafood, nuts, seeds and legumes—and stop eating once you’re full.
8. Deliberately choose a healthy ingredient.
Even if you aren’t able to prepare your own meals, Gulati suggests mindfully choosing at least one healthy meal or snack a day. Reach for the banana in the office fruit bowl, or add one more veggie to your chicken Caesar salad.
9. Pay attention to your needs.
Ellen Friedrichs, a Brooklyn, New York-based health and sexuality educator, says we need to assess our needs, moment to moment. Do you really need those potato chips, or are you just thirsty for a big glass of water? You’re exhausted—RSVP “no” to that cocktail party. Feeling distant from your partner lately? Suggest a date night.
10. Tell the truth as often as you can.
“Acting with integrity — where all of your words and actions align with your core beliefs — brings peace of mind and a sense of freedom,” O’Connor says. This may seem challenging, but she believes that lying or ignoring your principles could make you sick, both mentally and physically.
(Real Simple magazine provides smart, realistic solutions to everyday challenges. Online at www.realsimple.com.)
CBS News producer Nicole Keller contributed to this article.
KHN (Kaiser Health News) is a national newsroom that produces in-depth journalism about health issues. Together with Policy Analysis and Polling, KHN is one of the three major operating programs at KFF (Kaiser Family Foundation). KFF is an endowed nonprofit organization providing information on health issues to the nation.
